
بازبینی توسط دکترمهبان پروانهحسینی
۱۳ دقیقه
.
خرداد ۱۴۰۴
حاملگی پوچ چیست و چه علائمی دارد؟چه کسانی دچار آن میشوند؟

حاملگی پوچ مانند یک دست باخته در بازی گل یا پوچ است. زمانی که تمام علائم بارداری مشاهده میشود و حتی تست بارداری علامت مثبت را به رخمان میکشد، ناگهان میفهمیم که بدن گولمان زده و در دستش هیچی نیست! به طور ساده، بارداری پوچ به معنی عدم رشد یا تشکیل جنین پس از لانه گزینی تخمک بارور است. علت حاملگی پوچ معمولاً اختلالات ژنتیکی و کروزومی است و نیاز به تحقیقات بیشتری دارد. «علائم بارداری پوچ» ابتدا شبیه به یک حاملگی معمولی و طبیعی است اما کمکم نشانههایی شبیه به سقط جنین ظاهر میشود و بارداری خاتمه مییابد. این عارضه یکی از دلایل بسیار شایع سقط جنین در سه ماهه اول بارداری است. در این مقاله این پدیده را به طور کامل توضیح میدهیم و تلاش میکنیم به تک تک سوالات احتمالی شما پاسخ دهیم.
فهرست محتوا
حاملگی پوچ چیست؟
بارداری پوچ در هفته چندم مشخص می شود؟
علائم بارداری پوچ از کی شروع میشود؟
چه کسانی دچار بارداری پوچ می شوند؟
از کجا بفهمم بارداریم پوچ نیست؟
سونوگرافی واژینال یا شکمی
بررسی هورمون hCG در خون
معاینه پزشک
علت حاملگی پوچ چیست؟
تخمک ضعیف و بارداری پوچ
آیا تنبلی تخمدان باعث بارداری پوچ می شود؟
احتمال حاملگی پوچ در آی وی اف
علائم بارداری پوچ چیست؟
خون ریزی شدید
انقباضات رحم
نشانههای غیرطبیعی در سونوگرافی
کاهش هورمون hCG
علائم حاملگی پوچ در هفته پنجم
علائم بارداری پوچ در هفته ششم
احتمال بارداری سالم بعد از بارداری پوچ
درمان بارداری پوچ
تفاوت حاملگی پوچ و بارداری مولار چیست؟
کلام آخر
منابع
حاملگی پوچ چیست؟
شرایطی را تصور کنید که در آن تخمک با موفقیت بارور شده و دریواره رحم لانه گزینی کرده است، در این زمان جفت نیز شروع به رشد و تکامل میکند و حتی هورمون hCG نیز شروع به ترشح میکند؛ اما ناگهان رشد جنین متوقف شده یا اصلاً شروع نمیشود و بارداری در مراحل اولیه متوقف میگردد. به این شرایط، «حاملگی پوچ»، «بارداری آمبریونیک» یا «حاملگی بدون جنین» گفته میشود.
در حاملگی طبیعی، پس از لقاح تخمک و اسپرم، تخمک بارور شده، در دیواره رحم لانه گزینی و شروع به تقسیم میکند و در نهایت جنین تشکیل میشود. جفت نیز شروع به رشد و تولید هورمون hCG میکند. با گذر زمان جنین بیشتر و بیشتر رشد میکند و تکامل مییابد؛ اما در بارداری پوچ جنین رشد نمیکند و تشکیل نمیشود.
نکته قابل توجه در این شرایط ترشح هورمون hCG است. این هورمون برای حمایت و تشخیص بارداری ترشح میشود و آزمایشهای بارداری به دنبال شناسایی آن هستند؛ بنابراین در حاملگی پوچ به دلیل ترشح این هورمون از جفت، تست بارداری مثبت میشود و علائم مرتبط با حاملگی مانند درد سینه و حالت تهوع نیز ممکن است، رخ دهند.

بارداری پوچ در هفته چندم مشخص می شود؟
پزشک متخصص زنان و زایمان با استفاده از سونوگرافی واژینال، حاملگی پوچ را در سه ماهه اول بارداری و بین هفته هفتم بارداری تا هفته نهم تشخیص میدهد.
علائم بارداری پوچ از کی شروع میشود؟
علائم بارداری پوچ معمولا در هفتههای ابتدایی بارداری، اغلب بین هفته چهارم تا ششم بعد از لقاح، خود را نشان میدهند؛ اما ممکن است این زمانبندی، متناسب با شرایط جسمی و زمان تشخیص، کمی متفاوت باشند.
شما میتوانید در اپلیکیشن ایمپو تمامی علائم خود را به صورت روزانه ثبت کنید تا باتوجه به آن توصیه تخصصی دریافت کنید. همچنین، ایمپو تمامی آزمایشات و مراقبتهای ضروری را هفته به هفته به شما یادآوری میکند و اندازه جنین و سن بارداری را نمایش میدهد.

چه کسانی دچار بارداری پوچ می شوند؟
طبق تحقیقات بیش از دو سوم حاملگیهای پوچ ناشی از ناهنجاری های ژنتیکی است. به این معنی که ممکن است تخمک بارور شده یک کروموزوم اضافی داشته باشد یا یک کروموزوم نداشته باشد؛ یا زبان ساده ترکیب مناسبی از مواد ژنتیکی برای ادامه را ندارد. در این حالت پدر و مادر هیچ نقشی در بروز بارداری پوچ ندارند و راهی برای جلوگیری از آن نیز وجود ندارد.
در برخی موارد نادر عواملی مانند عفونت، ابتلای والدین به بیماریهای خود ایمنی و غدد درون ریز ممکن است سبب بروز حاملگی پوچ شود. نکته مهم درباره این اتفاق این است که بروز حاملگی پوچ به هیچ عنوان به معنی شکست در بارداریهای بعدی نخواهد بود و فرد میتواند به آسانی و بدون نگرانی، با راهنمایی پزشک برای بارداری مجدد اقدام کند.

از کجا بفهمم بارداریم پوچ نیست؟
تشخیص بارداری پوچ تنها با بررسیهای پزشکی امکانپذیر است؛ علائم ظاهری به تنهایی نمیتوانند بارداری پوچ را از بارداری سالم متمایز کنند. اصلیترین روشها برای اطمینان از پوچ نبودن بارداری به شرح زیر است:
-
سونوگرافی واژینال یا شکمی
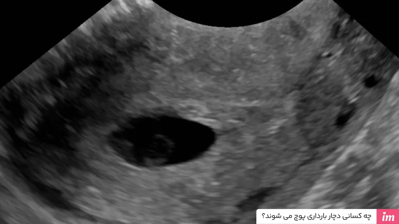
در هفته هفتم به بعد در بارداری سالم، در سونوگرافی واژینال یا شکمی، جنین همراه با ساک حاملگی و ضربان قلب دیده میشود. در بارداری پوچ معمولا ساک خالی باقی میماند. اگر در سونوگرافی اولیه نتیجه روشنی به دست نیاید، پزشک معمولا یک یا دو هفته بعد سونوگرافی تکراری را توصیه میکند تا تشخیص قطعی شود.
-
بررسی هورمون hCG در خون
در بارداری طبیعی این هورمون هر ۴۸–۷۲ ساعت تقریبا دو برابر میشود؛ اما در بارداری پوچ افزایش آن کند یا نامنظم است.
-
معاینه پزشک
در بارداری طبیعی، رشد رحم با سن بارداری همخوانی دارد. اگر اندازه رحم خیلی کوچک یا خیلی بزرگتر از حد انتظار باشد، به این معنا است که روند طبیعی رشد جنین اتفاق نمیافتد؛ در این صورت، نیازمند بررسیهای بیشتر توسط پزشک است.
علت حاملگی پوچ چیست؟
حاملگی پوچ میتواند به دلیل کیفیت پایین اسپرم و تخمک یا تقسیم سلولی غیرطبیعی تخمک بارور شده رخ دهد. اکثر حاملگیهای پوچ ناشی از اختلالات کروموزومی و ژنتیکی هستند. اگرچه تشخیص علت حاملگی پوچ دشوار است و نیاز به تحقیقات بیشتری دارد؛ ولی میتوان گفت این پدیده به سبک زندگی پدر و مادر ارتباطی ندارد. یکی دیگر از باورهای اشتباه، درباره ارتباط ای وی اف و بارداری پوچ است؛ اما مطالعات نشان میدهد که IVF ریسک حاملگی پوچ را افزایش نمیدهد.
در واقع باید بدانید که در حاملگی پوچ، جنین ترکیب ژنتیکی مناسبی برای ادامه و تکامل نداشته و ادامه بارداری به صلاح مادر و جنین نبوده است.
تخمک ضعیف و بارداری پوچ
تخمک ضعیف و بیکیفیت به تخمکهایی اطلاق میشود که توانایی لقاح و تشکیل یک جنین سالم را ندارند. کیفیت تخمک نقش مهمی در باروری زنان دارد و با سن، ژنتیک، اختلالات هورمونی و شرایط محیطی مرتبط است. همانطور که گفتیم تخمک و اسپرم ضعیف میتوانند از عوامل حاملگی پوچ باشند.
بیشتر بخوانید: همه چیز درمورد بارداری پنهان
آیا تنبلی تخمدان باعث بارداری پوچ می شود؟
تنبلی تخمدان به مشکلاتی مانند عدم تخمکگذاری منظم یا کاهش عملکرد تخمدانها اشاره دارد. این موضوع میتواند منجر به مشکلات باروری شود. زنانی که به PCOS یا تنبلی تخمدان مبتلا هستند، ممکن است برای تجربه بارداری نیاز به کمکهای پزشکی داشته باشند یا در اثر عوارض شدید این بیماری، بارداری ناموفق یا سقط جنین را تجربه کنند؛ اما بر اساس تحقیقات، شواهدی مبتنی بر تأثیر تنبلی تخمدان یا سندرم تخمدان پلی کیستیک بر حاملگی پوچ یا حاملگی بدون جنین وجود ندارد. همانطور که پیشتر توضیح دادیم، علت حاملگی پوچ اختلالات ژنتیکی و کروموزومی است.
احتمال حاملگی پوچ در آی وی اف
آی وی اف یکی از روشهای محبوب درمان ناباروری است، که در آن تخمکهای بالغ از تخمدانها جمعآوری شده و توسط اسپرم در محیط کنترل شده آزمایشگاه بارور میشوند. سپس تخمک بارور شده (جنین) به رحم منتقل میشود و پس از آن بارداری روند طبیعی خود را طی میکند. با توجه به اینکه بارداری پوچ ناشی از اختلالات کروموزومی است و ارتباطی به نحوه باروری ندارد، میتوان گفت که IVF در بروز حاملگی پوچ نقش مهمی ندارد. برای آشنایی بیشتر با آی وی اف، بهتر است مقاله مربوطه را مطالعه کنید.
علائم بارداری پوچ چیست؟
علائم بارداری پوچ در ابتدا مشابه بارداری طبیعی است. در واقع، به دلیل ترشح هورمون hCG از جفت، نه تنها تست بارداری مثبت میشود، بلکه مادر علائم اولیه بارداری مانند تهوع، نفخ و التهاب سینهها را نیز تجربه میکند؛ اما با گذر زمان تخمک بارور به جنین تبدیل نشده و سطح هورمون hCG نیز افت میکند. در این حالت، کم کم علائم بارداری ناپدید شده و ممکن است جای خود را به علائم سقط جنین، از جمله انقباض رحم و خون ریزی، بدهند. علائم بارداری پوچ عبارتند از:
-
خون ریزی شدید
خونریزیهای کم و لکه بینی در روزهای ابتدایی بارداری طبیعی و شایع هستند، اما در صورتی که خونریزیهای شدید و طولانی را تجربه کردید، باید به پزشک معالج خود مراجعه و او را مطلع کنید. اگر میخواهید بدانید چه مقدار خونریزی در بارداری طبیعی است، مقاله درج شده را مطالعه کنیدد.
-
انقباضات رحم
برخی از زنان درد در نواحی زیر شکم و رحم را در ابتدای بارداری تجربه میکنند، که میتواند کاملاً طبیعی باشد و جای نگرانی ندارد؛ اما درد و انقباضات رحم به ویژه زمانی که همراه با علائمی مانند خونریزی یا تب هستند باید توسط پزشک متخصص بررسی شود.
-
نشانههای غیرطبیعی در سونوگرافی
بسیاری از افراد در نوبت سونوگرافی سه ماهه اول بارداری متوجه حاملگی پوچ میشوند. زمانی که سونوگرافی ساک حاملگی خالی و کوچکتر از حالت طبیعی را نشان میدهد، تشخیص حاملگی پوچ، تائید میشود. در صورتی که سونوگرافی در روزهای اولیه بارداری این علائم را نشان دهد، امکان دارد پزشک به شما توصیه کند یک هفته منتظر بمانید و علاوه بر سونوگرافی مجدد، آزمایش hCG شما را دوباره بررسی میکند. سطوح پایین hCG همراه با ساک حاملگی کوچک و خالی، خبر از حاملگی پوچ میدهند. در مقاله آزمایش خون بارداری، میزان طبیعی hCG را در هفتههای مختلف بیان کردهایم.
-
کاهش هورمون hCG
تحقیقات نشان میدهند که در حاملگی پوچ سطح هورمون hCG در هفته ششم بارداری تا هفته هشتم بارداری پایینتر از حد طبیعی است.
علائم حاملگی پوچ در هفته پنجم
در هفته پنجم بارداری، برخی از نشانههای حاملگی پوچ ممکن است بسیار جزئی باشند؛ این علائم شامل حساسیت کمتر در سینهها، تهوع خفیف یا ناپایدار، لکهبینی جزئی و نوسانات انرژی یا خلق غیرمعمول است.
علائم بارداری پوچ در هفته ششم
در هفته ششم بارداری، برخی از نشانههای حاملگی پوچ ممکن است شامل عدم رشد محسوس رحم، لکهبینی خفیف و ادامهدار، علائم عمومی بارداری ضعیف یا ناپایدار و افزایش غیرعادی هورمون hCG باشد.

احتمال بارداری سالم بعد از بارداری پوچ
اگرچه بارداریهای ناموفق همیشه دلخراش هستند، اما خوشبختانه فرد میتواند پس از این تجربه تلخ، بارداری و فرزندی سالم داشته باشد. سقط جنین معمولاً یکبار رخ میدهد و احتمال تکرار آن تنها یک درصد است. بنابراین میتوانید به محض اینکه احساس راحتی و آمادگی کردید برای بارداری مجدد اقدام کنید. البته توصیه میکنیم که حداقل به اندازه یک چرخه قاعدگی صبر کنید تا محاسبه تاریخ زایمان آسانتر شود و احتمال تست بارداری مثبت کاذب نیز کاهش یابد. شما میتوانید با کمک تقویم قاعدگی ایمپو و ثبت آخرین پریود و زمان سقط جنین به راحتی برای بارداری بعدی خود برنامهریزی کنید. ایمپو برای شما تاریخ تخمک گذاری را پیش بینی میکند که آگاهی از آن برای اقدام به بارداری بسیار اهمیت دارد؛ چراکه با داشتن رابطه جنسی در دوران تخمک گذاری، شانس بارداری افزایش مییابد. همچنین، ایمپو برای شما شانس بارداری را محاسبه میکند.
درمان بارداری پوچ
درمان حاملگی پوچ بسته به ویژگیها و شرایط هر فرد متفاوت است. تعداد زیادی از زنانی که دچار بارداری پوچ میشوند بدون مداخله و به طور طبیعی جنین خود را سقط میکنند؛ در حالی که، برای برخی دیگر، سقط جنین کمی دشوارتر است و باید با کمک پزشک انجام شود. پس از تشخیص حاملگی پوچ، پزشک معالج درباره روشهای درمانی با شما صحبت خواهد کرد و بهترین روش را برای شما در نظر میگیرد. روشهای درمانی حاملگی پوچ عبارتند از:
- سقط طبیعی
برای زنانی که شروع به مشاهده علائم سقط، مانند خون ریزی و درد میکنند، انتظار برای سقط طبیعی یکی از گزینههایی است که پزشک در نظر میگیرد. در این حالت، بدون مداخلههای پزشکی حاملگی پوچ خاتمه مییابد و فرد به زندگی طبیعی خود باز میگردد.
- دارودرمانی
زمانی که سقط به طور طبیعی رخ نمیدهد و پزشک انتظار برای سقط طبیعی را جایز نمیداند، مصرف داروهای محرک سقط جنین تجویز میشود.
- کورتاژ
عمل کورتاژ یا D&C برای خارج کردن بافتهای باقی مانده بارداری پوچ تجویز میگردد و در دو مرحله، به کمک بیهوشی عمومی، بیحسی موضعی یا تزریق وریدی آرامبخش انجام میشود. در مرحله اول برای دسترسی به فضای رحم، دهانه رحم را متسع و باز میکنند و سپس پزشک با استفاده از ابزاری مانند ساکشن، رحم را پاکسازی میکند.
پس از رفع حاملگی پوچ، مراجعههای منظم به پزشک باید ادامه پیدا کند تا سلامت و شرایط فیزیکی مادر تحت کنترل بماند. این مراجعهها تا 6 هفته باید ادامه پیدا کنند و ممکن است آزمایش و بررسیهای دیگری نیز توصیه شود.
فراموش نکنید عبور از تجربههای تلخی مانند حاملگی پوچ و سقط جنین علاوه بر عوارض فیزیکی مانند خون ریزی و درد، سبب عوارض روحی و عاطفی نیز میشوند. از دست دادن جنین برای مادر یک غم سنگین و غیرقابل توصیف است که کنار آمدن با آن به زمان و حمایت بسیاری احتیاج دارد و امکان دارد منجر به افسردگی مادر شود. در اپلیکیشن ایمپو بهترین تیم روانشناسی در کنار شما هستند تا از این تجربه سخت گذر کنید.
تفاوت حاملگی پوچ و بارداری مولار چیست؟
بارداری مولار یک حاملگی نادر است که پس از لقاح اسپرم و تخمک، جفت به طور غیر طبیعی رشد میکند، و به یک توده سلولی غیرسرطانی شبیه به خوشه انگور تبدیل میشود. این توده توانایی تغذیه و اکسیژنرسانی به جنین را ندارد و در نهایت سبب پایان بارداری میشود. علائم بارداری مولار شامل خونریزی واژینال، تهوع، استفراغ، سطح بسیار بالای هورمون hCG، و در برخی موارد علائم پرهاکلامپسی زودرس (مسمومیت بارداری) است.
همچنین، سونوگرافی وجود مول یا رشد غیرطبیعی جفت را نشان میدهد. اگرچه بارداری مولار و حاملگی پوچ هر دو به معنی بارداری ناموفق هستند، اما دو حالت متمایز با عملکرد کاملاً متفاوت محسوب میشوند. در بارداری مولار، به دلیل احتمال وقوع عوارض سنگین، درمان بسیار پیچیدهتری مورد نیاز است.
بیشتر بخوانید: همه چیز درمورد بارداری بعد از سقط

کلام آخر
حاملگی پوچ وضعیتی است که در آن تخمک بارور شده به دیواره رحم مادر میچسبد، اما جنینی تشکیل نمیشود. علت اصلی این اتفاق اغلب اختلالات کروموزومی است. اگرچه علائم اولیه آن شبیه به یک بارداری طبیعی است، اما با گذشت زمان و عدم رشد جنین، ممکن است علائمی مانند خونریزی و درد شکم نیز ظاهر شود. تجربه حاملگی پوچ، بیشک میتواند بسیار دردناک و ناراحتکننده باشد، اما مهم است بدانید که شما تنها نیستید و بسیاری از زنان این تجربه را پشت سر گذاشتهاند. با وجود تمام سختیها، این اتفاق به معنای پایان امید به مادر شدن نیست. بدن شما توانایی شگفتانگیزی برای ترمیم و باروری دوباره دارد. یادتان باشد، شما قویتر از آنی هستید که تصور میکنید.
منابع

آیا آی وی اف احتمال حاملگی پوچ را بیشتر میکند؟
خیر! آی وی اف ربطی به حاملگی پوچ ندارد و احتمال آن را بیشتر نمی کند.
آیا حاملگی پوچ میتواند به بارداری سالم تبدیل شود؟
خیر! جنین در فاصله دو هفته بعد از لقاح باید تشکیل شود. در واقع زمانی که کیسه بارداری تشکیل می شود، سلول ها باید جنین را تشکیل داده باشند. در غیر این صورت کیسه بارداری خالی مانده و فرصتی برای بارداری موفق باقی نمیماند.
آیا تنبلی تخمدان احتمال بارداری پوچ را بشتر میکند؟
سندرم تخمدان پلیکیستیک (PCOS) یا تنبلی تخمدان از بیماریهای بسیار شایع در زنان در سنین باروری است که میتواند اقدام به بارداری را دشوار کنند؛ اما ربطی به حاملگی پوچ ندارد.
علائم بارداری پوچ چیست؟
علائم بارداری پوچ، در ابتدا مشابه علائم اولیه حاملگی است و با گذشت زمان این علائم فروکش می کند و نشانه های سقط جنین مانند لکه بینی، درد ظاهر می شوند. همچنین نشانه های غیرطبیعی در سونوگرافی و کاهش سطح هورمون HCG، از دیگر علائم بارداری پوچ است.

نویسنده: کیمیا رفیعی
امتیاز شما:
۵.۰۰ - (۷ امتیاز)
ثبت نظر
به مقاله امتیاز بدید و دیدگاه خود را بنویسید
نام کامل
شماره
به مقاله امتیاز بدید
خیلی کم
خیلی زیاد